
خدمات مطب دکتر امیر منصور شیرانی
دندانپزشکی بیمارستانی و تحت بیهوشیارائه درمانهای دندانپزشکی در بیمارستان با بیهوشی عمومی برای بیماران پرریسک یا غیرهمکار.
درمان مشکلات مفصل فکی و عضلات جوندهتشخیص و درمان درد، صدا، قفلشدن فک و ناهماهنگی عضلات با روشهای محافظهکارانه و اسپلینت.
درمان مشکلات خشکی دهان، بوی دهانارزیابی علت خشکی و بوی بد دهان و درمان با مرطوبکنندهها، اصلاح عادات و مراقبتهای تخصصی.
درمان دندانپزشکی در بیماران با مشکلات پزشکیبرنامهریزی ایمن درمان دندانپزشکی با هماهنگی پزشک معالج، کنترل داروها و پایش علائم حیاتی.

دکتر امیر منصور شیرانی یکی از اساتید برجسته و متخصص بیماریهای دهان، فک و صورت در ایران میباشد. ایشان با سالها تجربهی علمی و عملی، خدمات تخصصی و نوین دندانپزشکی را در اصفهان ارائه میدهند. در ادامه با سوابق علمی، پژوهشی و حرفهای ایشان بیشتر آشنا میشوید.
دکترای حرفهای دندانپزشکی از دانشگاه علوم پزشکی اصفهان (جزو ۵ درصد رتبههای برتر، سال ۱۳۷۸)
دانشنامه تخصص بیماریهای دهان از دانشگاه علوم پزشکی تهران (۱۳۸۲)
فلوشیپ لیزر در دندانپزشکی از دانشگاه آخن آلمان
گذراندن دورههای تخصصی لیزر در دندانپزشکی و پزشکی در دانشگاه وین، انجمنهای علمی اروپا و ایران
دیپلم لیزر تراپی از وزارت بهداشت روسیه
دریافت مشاوره رایگان یا رزرو نوبت
لطفا مشخصات خود را در کادر های مربوطه وارد کنید تا همکاران ما در اسرع وقت با شما تماس بگیرند
جدیدترین مقالات
جدیدترین مطالب مربوط به بیماریهای دهان و دندان را در بخش مقالات بخوانید
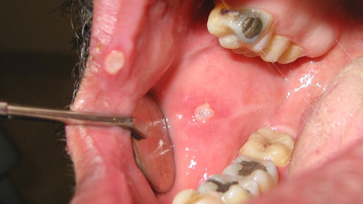
آفت عودکننده دهان؛ علل، تشخیص و روش های درمانآفت عودکننده دهان یکی از شایعترین زخم های دردناک دهانی است. در این مطلب با علائم، دلایل بروز آفت و روشهای جدید درمان آن از جمله لیزر آشنا شوید. ...
تاریخ انتشار : 1397-11-20
ضایعات پیش بدخیم دهان و روشهای درمان آنضایعات پیش بدخیم دهان مانند لکوپلاکیا و اریتروپلاکیا می توانند به سرطان تبدیل شوند. با علل ایجاد این ضایعات و درمان نوین آنها با لیزر آشنا شوید. ...
تاریخ انتشار : 1397-07-13
دندانپزشکی بیمارستانی؛ خدمات تخصصی برای بیماران خاصبرخی بیماران نیازمند درمان دندانپزشکی در شرایط بیمارستانی هستند. دندانپزشکی بیمارستانی روشی ایمن برای بیماران قلبی، کلیوی، سرطانی و بیماران غیرهمکار ...
تاریخ انتشار : 1397-07-13